こんにちは、アベニュー歯科クリニック大泉学園院長の高野です。
最近、インプラントがしたいけれども骨がなくて出来ない、と言われた患者さんが当院にいらっしゃる機会が増えている気がします。
抜歯に至る原因によって、いよいよ歯を抜かないといけない段階になるまでに周辺の骨が溶けきってしまうことがあります。
実際、既存骨(もともとの自分の骨)がある場合とない場合とでは、一括りにインプラントと言い表せないほどに難易度に違いがあります。
今回は、当院ではどのように骨がない症例に向き合っているか、
入れ歯しかできないと言われた方の、垂直的な骨造成とインプラント治療を例に、供覧したいと思います。
まずは初診時の口腔内です。
衛生士が規格写真を撮ってくれるので大変に助かっています。
左下大臼歯がなくなってしまっています。
つづいてレントゲン撮影
主訴部位の診査

抜歯して時間が経っているということですが、骨がなくなって歯肉もやせてしまっているのがわかります。
三次元的な骨吸収量と補綴的に必要な造成量を調べるために、CT撮影を行います。
骨がないですね。
しかも内側が深くえぐれているので、インプラントを埋入する深度がシビアです。
そこで、CTデータから骨の3D模型を出力し、造成する骨量をシュミレーションします。
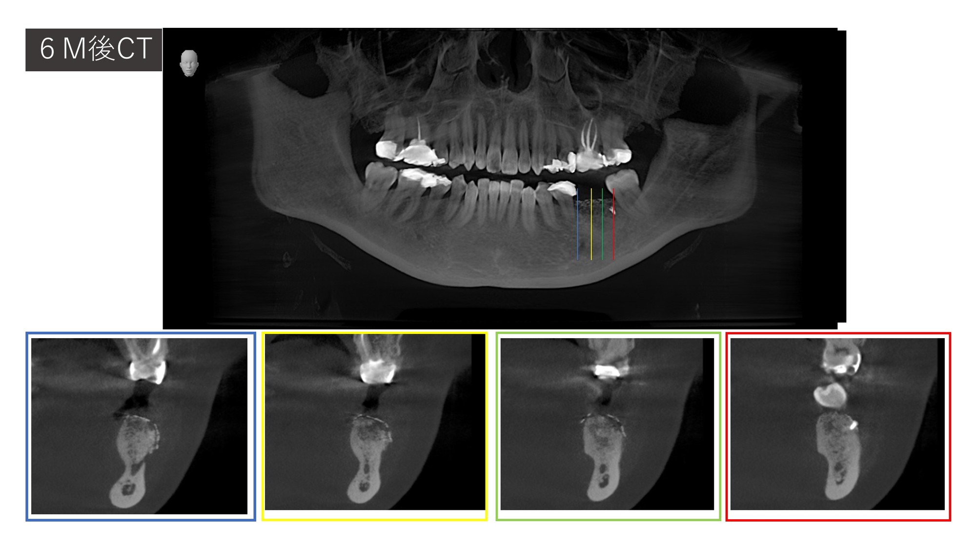
GBRオペから6か月、ほぼ計画通りに骨の形ができていることが分かります。
そして、ようやくここから、通常のインプラント処置がはじまります。
仮歯を経て、歯肉の成熟を待ち、最終補綴物を装着します。
スクリュー固定式のため、中央にアクセスホールが残ります。
治療期間 1年
費用 約60万円(うちGBR費用 約20万円)
練馬区のかかりつけ歯科医として、土曜日も診療しております。
小児歯科、一般歯科、矯正歯科、口腔外科、訪問歯科、予防歯科、
歯・歯ぐきの悩み、入れ歯の不具合、インプラント、
飲みこみの悩み(障害)は、アベニュー歯科クリニック大泉学園にご相談ください。
東京都練馬区の歯科医院
アベニュー歯科クリニック大泉学園
- 住所
- 東京都練馬区東大泉6丁目47-12
- 診療時間
- 午前 9:00 - 13:00
午後 14:30 - 18:00
- 18:30(水曜日のみ)
- 休診日
- 日曜 祝日
- 最寄駅
- 大泉学園駅
- 電話番号
- 03-5935-7555