ブログBlog

ブログ

ブログ

【症例03】前歯のセラミック修復の一症例

歯科治療について,症例

2019/10/24

こんにちは、アベニュー歯科クリニック大泉学園院長の高野です。
今日は前歯部のセラミック修復の一症例をご紹介します。

うちでは写真をたくさん撮らせていただいております。 
かならず初診のときは衛生士が記録に残します。
ドクターも自分の治療のフィードバックを残すために頻繁にカメラが登場します。 


では始めましょう。まずはこちら。
処置前のお口の中です。

前歯が不適合補綴物と劣化したプラスチックで処置されています。
すべて神経のない歯です。


正面観です。若干ピント甘くなってますね・・・(ーー;

模型に起こします。




プランニングワックスアップを行い、理想的な長さ、幅にします。


仮歯に置き換えます。
口の中に入れ、くちびるとの関係を見ていきます。




あっ・・・
歯が少ない・・・
右上の前歯はご自身の歯が少なく、このままだと将来土台から抜けてきそうです。
歯肉のラインも不揃いなので、その改善も兼ねて、当該歯は矯正的に引っ張り出すことにしました。





エクストリュージョン(矯正的に引っ張り出すこと)後です。
全周残ったご自身の歯が2mmあるとかぶせ物が安定します。
おまけに、歯肉のラインが左上前歯と揃ってきました。



根の治療をやり直し、土台もしっかりとして、最終的な補綴物を作る準備が整ったら型取りをします。
セレックもありますが、やはり前歯は技工士さんのウデが必要です。






左上2の歯肉ラインの位置が低位なのは気になりましたが、low-lipで歯頚部が見えないことを理由に処置は見送りました。







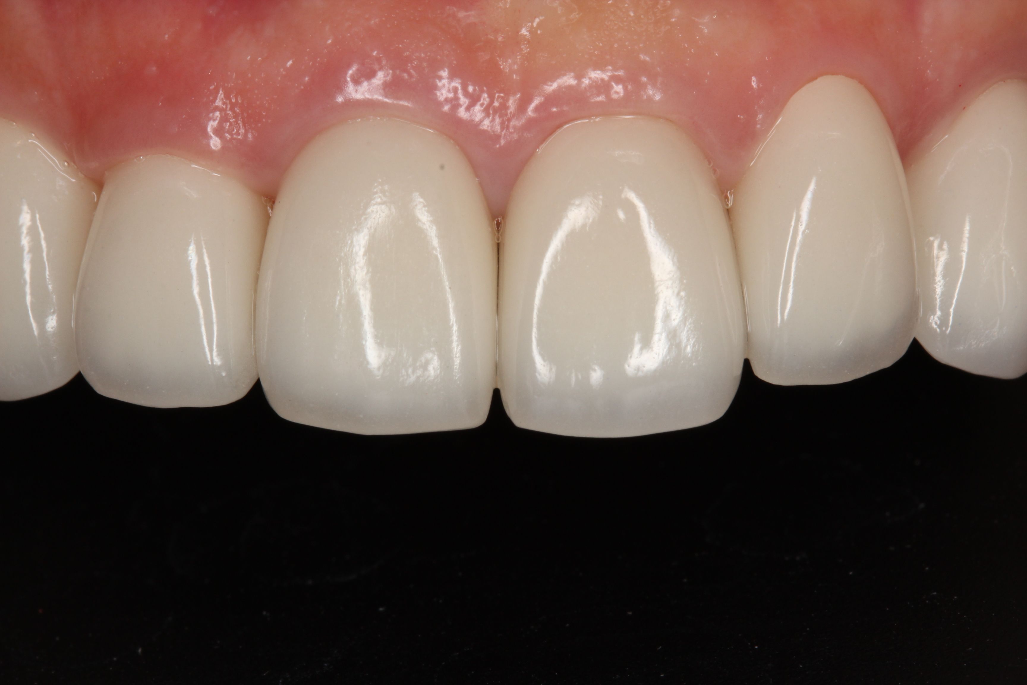
下の歯は神経のある健康な歯でしたので、軽くホームホワイトニングで透明感を出し、上のセラミッククラウンをそれに近づけました。

まだ治療終了してから1年あまりしか経過していないですが、
患者さんは現在もメインテナンスで通っていただいていますので、
衛生士ともども経過を追っていきたいと思います。

ではまた。

練馬区のかかりつけ歯科医機能強化型歯科医院の認定を受けています。
小児歯科、一般歯科、矯正歯科、口腔外科、訪問歯科、予防歯科
歯・歯ぐきの悩み、お口の悩み、入れ歯の不具合、インプラント、飲みこみの悩み(嚥下障害)は、
アベニュー歯科クリニック大泉学園にご相談ください。
練馬区のかかりつけ歯科医として、土曜日も診療しております。
小児歯科、一般歯科、矯正歯科、口腔外科、訪問歯科、予防歯科、
歯・歯ぐきの悩み、入れ歯の不具合、インプラント、
飲みこみの悩み(障害)は、アベニュー歯科クリニック大泉学園にご相談ください。

東京都練馬区の歯科医院
アベニュー歯科クリニック大泉学園

住所
東京都練馬区東大泉6丁目47-12
診療時間
午前 9:00 - 13:00
午後 14:30 - 18:00
- 18:30(水曜日のみ)
休診日
日曜 祝日
最寄駅
大泉学園駅
電話番号
03-5935-7555

戻る

あなたへのおすすめ記事

アベニュー歯科クリニック

一般歯科をはじめ小児歯科、予防歯科、義歯、インプラント、美容歯科、セレック、矯正歯科など、幅広い診療に対応

お問い合わせ・予約受付
TEL03-5935-7555

アベニュー歯科クリニック

診療時間
9:00 - 13:00 /
14:30 - 18:00 /

休診:日曜・祝日